Smile Gallery
We believe that expert care today means stronger, healthier communities tomorrow—that’s why we’re planting seeds for a thriving community every day.
- smile gallery
REAL PATIENTS, REAL RESULTS
Your smile is our passion! Our Smile Gallery showcases real patient results, highlighting the transformative impact of our oral and facial surgery procedures. From dental implants to corrective jaw surgery, we take pride in restoring function, confidence, and beautiful smiles. Explore our gallery to see how we can help you achieve life-changing results.


The confidence I gained from this surgery was 100% worth going through the recovery of it! I used to smile without my teeth in every single photo, and now I’m excited to show off my aligned smile! Dr. Haas and JD were amazing throughout the whole process. I would recommend them and their team to anyone looking to straighten their smile!

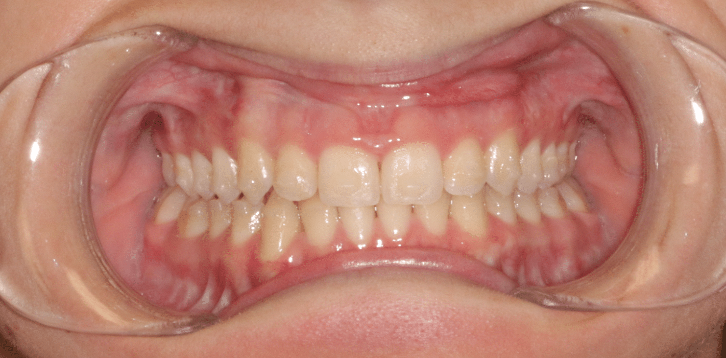
Tooth #9 had to be extracted due to a fracture. An implant and temporary crown were placed immediately, so our patient never had to go without a front tooth during healing. The final crown will be perfectly matched for a seamless smile!

This patient underwent double jaw surgery with Dr. Haas, followed by orthodontic treatment with Dr. David Duevel at Fargo Orthodontics. The teamwork between surgery and orthodontics helped transform both function and appearance of the smile.







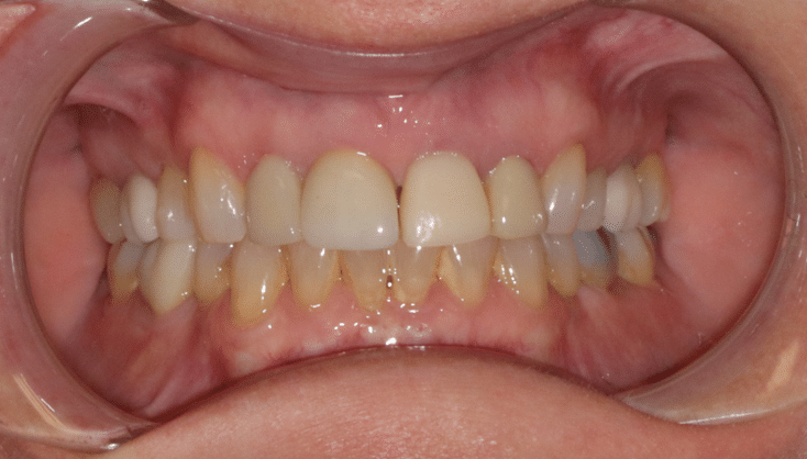
Dr. Haas restored this patient’s smile with a dental implant and temporary crown. You may notice a slight color difference — this is intentional, as the final crown will be custom-matched for a perfect, natural appearance.


Anterior Dental Implant by Dr. Haas
This case highlights a front-tooth dental implant beautifully restored in collaboration with Dr. Chris Mathison. The treatment achieved a natural and functional result, enhancing the patient’s smile and confidence. The photos below show the improvement in esthetics and alignment following the implant procedure.